Dental Implants
Done In One Day

Customized Treatments. Better Results. Best Price. One Day!

Dental Implants
Done In One Day

Customized Treatments. Better Results. Best Price. One Day!

Smile Transformations that change everything

The Smile You Deserve—Without the Wait or High Cost

With advanced technology, exceptional clinical expertise, and a deep understanding of your goals, our Murphy Family Implant & Cosmetic Dentistry team delivers smile transformations that feel as incredible as they look. Discover how we can turn the smile of your dreams into reality.

Clinical Excellence & Implant Expertise

Why We’re the Trusted Choice for Dental Implants

Most People Qualify

Are You a Candidate for Dental Implants?

Most people are great candidates for dental implants! You qualify if:

To Speak With One Of Our Dental Implant Experts, Call Now!

Our Dental Implant Options

Implants Designed for Your Needs

Single
Implants

Replace one
missing tooth.

Dental
Bridges

Replace multiple
teeth in a row.

Implant-Supported
Dentures

Stabilize your dentures and replace all your missing teeth.

Full-Arch
Dental Implants

Replace all your
missing teeth.

Your Best Smile Starts Here

Real Results.
Real Confidence.

Dental implants offer various benefits beyond replacing missing teeth. From improved chewing and speech to enhanced confidence and long-term durability, they’re built to improve your quality of life.

Committed to Clinical Excellence

Meet The Doctors

Jacqueline T. Nguyen, DDS

Dr. Nguyen’s career in the dental field spans decades so far, and she continues to have a strong passion for not only staying up-to-date with the latest technological advancements in the field, but also caring for families with warm energy and lots of laughter.

Masoud E. Najari, DDS

Dr. Najari’s extensive experience in dentistry and passion for helping patients stay active and informed regarding all aspects of their oral health should be crystal clear from your very first appointment here in Murphy. Interested in learning more about him?

Superior Treatments... Better Results... At the best price!

Custom-Crafted Restorations

Smile Design That Fits You Perfectly

We create personalized treatment plans designed to restore the health, function, and beauty of your smile. Every detail is carefully considered, from your facial symmetry and skin tone to your lifestyle and long-term goals. 

Using high-quality materials that mimic the translucency and color of natural enamel, your new teeth are crafted to look, feel, and function just like real teeth. Each restoration is uniquely designed to complement your features, match your existing teeth, and elevate your overall appearance.

Let's Begin Your Transformation

Take the first step towards confidence

In just one simple, no-obligation visit, you’ll learn:

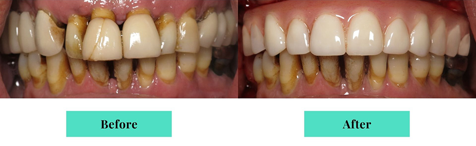
Patient Results

The Proof Is In Our Patients

Full-Arch Dental Implants

The Best Choice You’ll Ever Make for Your Smile

We understand that cost is a key factor in your decision-making process. However, putting off the dental care you need, like getting full-arch dental implants, can lead to bigger problems like jawbone loss, jaw pain, and extensive, costly treatments in the future.

Full-mouth dental implants aren’t just about replacing teeth—they’re about reclaiming your confidence, comfort, and quality of life. With flexible financing options available, what you’re really investing in is a lasting solution that lets you live a healthy life with a beautiful set of teeth you feel comfortable showing off.

Patient Testimonials

Hear What Our Patients Are Saying

Dr. Najari's patient Brent smiling in the office
Dr.Najari's patient Joan smiling in office
Dr. Najari's patient AL smiling in office
Dr. Najari's patient Hida smiling in office
Dr. Najari's patient Joe smiling outside of the practice
Real Patients. Real Reviews.

Read What Our Patients Are Saying

Answer The Following Questions To Learn More About Our Pricing And Financing Options.